昌宁县中医医院开展三叉神经MRI检查新技术
时间:2026-02-03 17:37 发布人:小编 浏览:
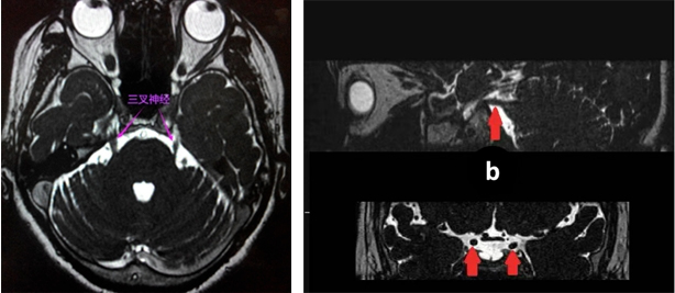
近日,昌宁县中医医院影像科成功开展三叉神经MRI(磁共振成像)检查新技术,为三叉神经痛及相关疾病的精准诊断提供了新的有力工具。该技术能够清晰显示三叉神经的细微解剖结构及其与周围血管的关系,显著提高了诊断的准确性和可靠性。
目前,该项技术已正式投入临床使用,将为广大三叉神经痛、三叉神经肿瘤、多发性硬化累及三叉神经等疾病的患者提供更精准的影像学评估,为个性化治疗方案的制定提供重要依据。

科普时间
什么是三叉神经?
三叉神经是人体十二对脑神经中的第五对,也是最粗大、最重要的感觉运动混合神经,主要负责面部、口腔及头前部的感觉,以及咀嚼肌的运动。它从脑干发出后分为三支(眼支、上颌支、下颌支),故名“三叉神经”。

什么是三叉神经痛?
三叉神经痛是最常见的脑神经疾病,分为原发性和继发性。该病特点是在头面部三叉神经分布区域内,骤发骤停的,呈闪电样、刀割样、烧灼样、顽固性、难以忍受的剧烈性疼痛,说话、洗脸、刷牙或微风拂面,甚至走路时都会导致阵发性的剧烈疼痛,严重影响我们的正常工作和生活。

三叉神经MRI检查有何优势?
1.软组织分辨率高:能够清晰地分辨出三叉神经与周围的血管、脑组织等结构的界限。例如:在检查三叉神经痛是否由血管压迫引起时,MRTA可以清晰地看到血管与神经的交叉、压迫情况。
2.多方位成像:可以多角度观察三叉神经,全面了解其形态和走形,有助于确定肿瘤的范围、与神经的关系等。
3.无创精准:检查安全无创,帮助医生准确地定位病变部位,为后续的治疗方案选择与制定提供依据。
4.鉴别诊断:可有效鉴别由肿瘤、多发性硬化、蛛网膜囊肿等引起的继发性三叉神经痛。
哪些人可能需要接受此项检查?
1.临床诊断为典型或非典型三叉神经痛,需明确病因者。
2.药物治疗效果不佳,考虑进行外科干预(如射频消融、球囊压迫、微血管减压术)前。
3.面部疼痛需与三叉神经痛相鉴别的患者。
4.怀疑有三叉神经区域肿瘤、炎性或脱髓鞘病变者。
MRI检查禁忌症
1.绝对禁忌症
体内有电子植入物:心脏起搏器、除颤器、金属人工耳蜗等;
存在强磁性金属:旧式动脉瘤夹、眼内金属异物、体内金属碎片(靠近重要器官时风险极高)。
2.相对禁忌症
孕早期(妊娠3个月内):非必要建议暂缓,确需检查需由产科与影像科联合评估;
体内有非磁性金属:如钛合金关节、宫内节育环等,需先确认材质兼容性;
幽闭恐惧症患者:可提前告知医生,通过药物镇静或心理疏导缓解紧张。

咨询方式
地址:门诊楼一楼影像科。
电话:0875-7120012。
